ਜਿਸ ਉਮਰ ਵਿੱਚ ਬੱਚੇ ਠੀਕ ਤਰ੍ਹਾਂ ਬੋਲਣਾ ਸਿੱਖਦੇ ਹਨ, ਉਸੇ ਉਮਰ ਵਿੱਚ ਪੀਜੀਆਈ ਦੇ ਡਾਕਟਰਾਂ ਨੇ ਉਸ ਦੀ ਜ਼ਿੰਦਗੀ ਨੂੰ ਨਵੀਂ ਸਵੇਰ ਦਿੱਤੀ। ਦੋ ਸਾਲ ਦੇ ਬੱਚੇ ਦੇ ਦਿਮਾਗ ਵਿੱਚ ਫੈਲੇ ਦੁਰਲੱਭ ਅਤੇ ਖ਼ਤਰਨਾਕ ਟਿਊਮਰ ਨੂੰ ਸਫ਼ਲ ਸਰਜਰੀ ਰਾਹੀਂ ਪੂਰੀ ਤਰ੍ਹਾਂ ਕੱਢ ਦਿੱਤਾ ਗਿਆ। ਨਿਊਰੋਸਰਜਨ ਅਤੇ ਈਐੱਨਟੀ ਮਾਹਰਾਂ ਦੀ ਟੀਮ ਨੇ ਇੱਕ ਬਹੁਤ ਹੀ ਔਖਾ ਅਤੇ ਦੁਰਲੱਭ ਸਰਜਰੀ ਕਰਕੇ ਦੁਨੀਆ ਵਿੱਚ ਮਿਸਾਲ ਕਾਇਮ ਕੀਤੀ ਹੈ। ਹਰਿਆਣਾ ਦੇ ਸੋਨੀਪਤ ਤੋਂ ਆਏ ਦੋ ਸਾਲ ਦੇ ਬੱਚੇ ਦੇ ਸਿਰ ਦੇ ਵਿੱਚ ਮੌਜੂਦ ਵਿਸ਼ਾਲ ਬ੍ਰੇਨ ਟਿਊਮਰ ਨੂੰ ਨੱਕ ਦੇ ਰਸਤੇ ਐਂਡੋਸਕੋਪੀ ਦੀ ਮਦਦ ਨਾਲ ਪੂਰੀ ਤਰ੍ਹਾਂ ਕੱਢ ਦਿੱਤਾ ਗਿਆ।

ਤਰੁਣ ਭਜਨੀ, ਪੰਜਾਬੀ ਜਾਗਰਣ, ਚੰਡੀਗੜ੍ਹ। ਜਿਸ ਉਮਰ ਵਿੱਚ ਬੱਚੇ ਠੀਕ ਤਰ੍ਹਾਂ ਬੋਲਣਾ ਸਿੱਖਦੇ ਹਨ, ਉਸੇ ਉਮਰ ਵਿੱਚ ਪੀਜੀਆਈ ਦੇ ਡਾਕਟਰਾਂ ਨੇ ਉਸ ਦੀ ਜ਼ਿੰਦਗੀ ਨੂੰ ਨਵੀਂ ਸਵੇਰ ਦਿੱਤੀ। ਦੋ ਸਾਲ ਦੇ ਬੱਚੇ ਦੇ ਦਿਮਾਗ ਵਿੱਚ ਫੈਲੇ ਦੁਰਲੱਭ ਅਤੇ ਖ਼ਤਰਨਾਕ ਟਿਊਮਰ ਨੂੰ ਸਫ਼ਲ ਸਰਜਰੀ ਰਾਹੀਂ ਪੂਰੀ ਤਰ੍ਹਾਂ ਕੱਢ ਦਿੱਤਾ ਗਿਆ। ਨਿਊਰੋਸਰਜਨ ਅਤੇ ਈਐੱਨਟੀ ਮਾਹਰਾਂ ਦੀ ਟੀਮ ਨੇ ਇੱਕ ਬਹੁਤ ਹੀ ਔਖਾ ਅਤੇ ਦੁਰਲੱਭ ਸਰਜਰੀ ਕਰਕੇ ਦੁਨੀਆ ਵਿੱਚ ਮਿਸਾਲ ਕਾਇਮ ਕੀਤੀ ਹੈ। ਹਰਿਆਣਾ ਦੇ ਸੋਨੀਪਤ ਤੋਂ ਆਏ ਦੋ ਸਾਲ ਦੇ ਬੱਚੇ ਦੇ ਸਿਰ ਦੇ ਵਿੱਚ ਮੌਜੂਦ ਵਿਸ਼ਾਲ ਬ੍ਰੇਨ ਟਿਊਮਰ ਨੂੰ ਨੱਕ ਦੇ ਰਸਤੇ ਐਂਡੋਸਕੋਪੀ ਦੀ ਮਦਦ ਨਾਲ ਪੂਰੀ ਤਰ੍ਹਾਂ ਕੱਢ ਦਿੱਤਾ ਗਿਆ।
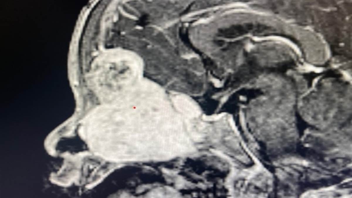
ਬੱਚੇ ਦੀ ਖੱਬੀ ਅੱਖ ਬਾਹਰ ਨਿਕਲ ਆਉਣੀ, ਅੱਖ ਦੀ ਮੂਵਮੈਂਟ ਰੁਕ ਜਾਣੀ, ਸਾਹ ਲੈਂਦੇ ਸਮੇਂ ਘਬਰਾਹਟ , ਨੱਕ ਵਿੱਚੋਂ ਮਾਸ ਦਾ ਟੁਕੜਾ ਦਿਸਣਾ ਅਤੇ ਅੱਖ ਵਿੱਚੋਂ ਲਗਾਤਾਰ ਪਾਣੀ ਆਉਣ ਵਰਗੀਆਂ ਗੰਭੀਰ ਸਮੱਸਿਆਵਾਂ ਸਨ। ਜਾਂਚ ਦੌਰਾਨ ਸੀਟੀ ਸਕੈਨ ਅਤੇ ਐੱਮਆਰਆਈ ਨਾਲ ਪਤਾ ਲੱਗਿਆ ਕਿ ਬੱਚੇ ਦੇ ਨੱਕ, ਸਾਇਨਸ, ਅੱਖ ਅਤੇ ਦਿਮਾਗ ਤੱਕ ਫੈਲਿਆ ਲਗਪਗ 7 ਸੈਂਟੀਮੀਟਰ ਦਾ ਟਿਊਮਰ ਹੈ। ਬਾਇਓਪਸੀ ਵਿੱਚ ਇਹ ਟਿਊਮਰ ਮੇਨਿੰਜੀਓਮਾ ਨਿਕਲਿਆ, ਜੋ ਬੱਚਿਆਂ ਵਿੱਚ ਬਹੁਤ ਹੀ ਦੁਰਲੱਭ ਹੁੰਦਾ ਹੈ।
ਡਾਕਟਰਾਂ ਅਨੁਸਾਰ, ਇੰਨੀ ਘੱਟ ਉਮਰ ਵਿੱਚ ਇਸ ਤਰ੍ਹਾਂ ਦਾ ਟਿਊਮਰ ਅਤੇ ਉਸ ਦੀ ਸਰਜਰੀ ਬਹੁਤ ਜੋਖ਼ਿਮ ਭਰੀ ਹੁੰਦੀ ਹੈ। ਇਸ ਤੋਂ ਪਹਿਲਾਂ ਦੁਨੀਆ ਵਿੱਚ ਸਿਰਫ਼ ਇੱਕ ਮਾਮਲਾ 2020 ਵਿੱਚ ਸਾਹਮਣੇ ਆਇਆ ਸੀ, ਜਿਸ ਵਿੱਚ 12 ਸਾਲ ਦੀ ਬੱਚੀ ਦਾ ਓਪਨ ਸਰਜਰੀ ਰਾਹੀਂ ਇਲਾਜ ਕੀਤਾ ਗਿਆ ਸੀ।